员工版登录

温馨提醒:

本院职工若忘记自己的用户名和密码,请在手机钉钉上申请("审批--党政办--网站用户名申请")。

集团版登录

温馨提醒:

本院职工若忘记自己的用户名和密码,请在手机钉钉上申请("审批--党政办--网站用户名申请")。

  • 官方微信

  • 官方支付宝

医院新闻
当前位置:首页 > 新闻中心 > 医院新闻
与时间赛跑!这种易被漏诊误诊的感染被敏锐识别,避免了一场重大创伤
作者:阮玲玲  来源:党建宣传科  发布时间:2024/5/14 17:10:49  字号:

如果不是早期敏锐诊断,可能眼球都要被摘除。

如果没有及时精准治疗,就要承受颅脑手术的创伤。

“太幸运!太感谢!”对李女士来说,一次突如其来的细菌感染就如同人生的一场历险,因精湛高效的诊治而化险为夷。近日,她特意带着两面锦旗送给两位主诊医师。

五个月前,李女士因发热四天未退,到我院发热门诊就诊,感染科董朴医生接诊后,查阅CT,敏感地意识到有可能是肝脓肿,及时收治患者入院。

“左眼前像是有黑影在飘动,已经有2天了。”住院医师张东向李女士详细询问病史后了解到这一症状,再结合此次发病特点,推断为高毒力肺炎克雷伯菌感染。

肺炎克雷伯菌是肠杆菌中的一种,通常存在人体体表、鼻咽部及肠道等处,肠道是该细菌定植的常见部位,一旦人体免疫机能下降,克雷伯菌就会进入肺部引起感染。高毒力肺炎克雷伯菌是肺炎克雷伯菌进化形成的侵袭力强,极易出现散播性脓肿的病原体,感染引发后以肝脓肿最为常见,还可以引起严重肺炎及多器官感染,有着较高的致残及致死率。

感染科洪亮主任进一步诊治后,立即安排患者肝穿刺,进行肝脓液引流,及时做好病灶处理,减轻病菌入血扩散带来的进一步感染压力。

 

(2023-12-19 CT全腹平扫+增强)

 

(2023-12-19 MR头颅平扫)

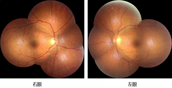
“高毒力肺炎克雷伯菌感染要特别关注最易发生侵袭转移的部位,目前患者左眼出现黑影,视力下降,需要马上排查眼内炎的发生,并且需做颅脑CT排除颅内转移性脓肿。”洪亮主任第一时间启动院内多学科诊疗,联系眼科副主任吴亮主任医师前来会诊。通过查体、视力评估和眼底一系列检查,刘女士左眼玻璃体混浊,被诊断为左眼内源性眼炎。细菌已经播散入眼,情况紧急,不及时手术将有失明风险。而且如果抗感染治疗失败,部分患者也有发生永久性视力损伤的可能。

(眼底照相)

(眼底B超)

( 黄斑OCT )

与此同时,经过血培养实验,也证实了此前对肺炎克雷伯菌感染的判断。

吴亮主任在最短时间内,为李女士安排了“左眼玻璃体腔注药术”,经过持续性眼部治疗,李女士左眼视力明显改善,并慢慢恢复,“当时如果晚一天手术,左眼球可能就保不住了”!

结合李女士多发感染表现和各项检查指标,治疗组予以精准抗感染治疗,减少了抗生素相关性肠炎等广谱抗生素所致的副作用。

经过一个多月的持续性精心治疗,李女士顺利出院。近三个月门诊随访观察,情况良好,病灶已完全消除。

近年来,我院感染科已成功治疗300多例高毒力肺炎克雷伯菌感染患者,经验丰富。“治疗时机的把握非常重要,我们对这类感染的起因、延续和处理用药能够做到精准把控,住院治疗周期相对较短,结合门诊随访序贯治疗,有效提升患者就医体验。”洪亮主任介绍。

在这一场与时间赛跑的救治中,李女士对高效精准的治疗深有体会,她与家人向治疗组医护人员的高尚医德、精湛医术及辛勤付出致以深深谢意!


相关文章
联系方式
电话:(0577)58815881
传真:(0577)65866586
邮编:325200
瑞祥院区

地址:瑞安市瑞枫大道168号
公交8、11、13、16、17、101、106路直达

万松院区

地址:瑞安市万松路108号
公交1、2、6、9、12、15、3路夜间线、101(环线)路直达

版权所有:瑞安市人民医院 Copyright©2011-2025 浙ICP备07019604号

网站地图 辅助信息 版权声明 在线调查